Inlays und Veneers
Unsere langjährige Erfahrung sorgt für bestes Wohlgefühl
nach einer Zahnrekonstruktion und schenkt Ihnen Sicherheit
für den festen Biss.
Implantate sind mittlerweile die bestmöglichste Zahnersatzform,
jedoch gibt es viele Situationen, bei denen die klassischen
Möglichkeiten des Zahnersatzes eine gute Alternative darstellen.
Inlays
sind Einlagefüllungen aus Gold, Keramik oder Kunstoff, die als
individuell gefertigtes Einzelstück in den präparierten Zahn eingeklebt
werden. Die haltbarste Restauration für den Zahn ist die Versorgung
mit einem Gold- oder Keramik-Inlay. Wir empfehlen diese Lösung,
wenn es um besonders hochwertige und langlebige Lösungen geht.
Wenn der Defekt des Zahnes noch nicht so groß ist, dass eine Krone
notwendig wird, entscheiden wir uns für ein Inlay.
Gold- oder Keramik?
Gold-Einlagefüllungen sind höchst stabil und lange haltbar.
Einen höheren Schönheitsanspruch bei gleichfalls langer Lebens-
dauer gewähren Keramik-Einlagefüllungen.
In ihrem Erscheinen sind sie von gesunden, weißen Zähnen
nicht zu unterscheiden.
Veneers
Veneers sind hauchdünne, lichtdurchlässige Keramikschalen für den Frontzahnbereich, die bei folgenden Situationen verwendet werden:
> Schneidekantendefekte
> Große, unschöne Kunststofffüllungen im Frontzahnbereich
> Lücken im Frontzahnbereich
> Fehlstellungen im Frontzahnbereich
Die Veneers geben den Zähnen ein natürliches und optimiertes
Aussehen. Auch die Zahnfarbe wird dem Gesamtbild individuell
angepasst. Der Vorteil von Keramik ist die natürliche und
lichtdurchleitende Eigenschaft.
Veneers sind biologisch sehr verträglich. Sie sind ausgezeichnet
belastbar und in Hinsicht auf Härte, Abriebfestigkeit und Elastizität
bestens zu empfehlen.

Passt!

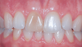
Vorher:
Ein verfärbter Frontzahn

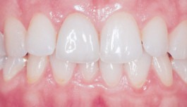
Nachher:
Korrektur der Verfärbung

Vorher:
Lückige Unterkieferfrontzähne

Nachher:
Geschlossene Unterkieferfrontzähne